Füllungen

Kunststofffüllungen


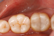
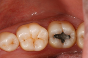
Mit aktuellen Kunststoffmaterialen lassen sich ästhetische und langlebige Füllungen realisieren. Sie sind in verschiedenen Weißtönen erhältlich und können so individuell dem Zahn angepasst werden, wie an den Fotos oben zu sehen: hier wurde eine Amalgamfüllung durch eine Kunststoff-Füllung ersetzt. Ein weiterer Vorteil besteht in der zahnsubstanzschonenden Behandlung. Es muss nur wirklich kariöses Material vom Zahn abgeschliffen werden. Die korrekte Verarbeitung dieser Materialien ist sehr aufwendig, verbunden mit hohen Materialkosten. Die gesetzlichen Krankenkassen übernehmen die Kosten für Kunststoff-Füllungen im Backenzahnbereich nur bei nachgewiesener Allergie gegen Amalgam (Allergiepass). Je nach Größe der Kunststofffüllung fällt deshalb eine Zuzahlung für Sie an.


Keramikinlay


Keramikinlays sind zahnfarbene Füllungen aus Keramik, die vom Zahntechniker hergestellt werden. Keramik ist wesentlich stabiler als Kunststoff, deshalb ist diese Art der Füllung langlebiger. Die Behandlung erfolgt in zwei Terminen. Beim ersten Termin wird der Zahn passend zugeschliffen und ein Abdruck genommen. Dann stellt der Zahntechniker das Inlay individuell auf ihre Zahnfarbe abgestimmt her. Beim zweiten Termin wird das Inlay dann in den Zahn eingesetzt.

Goldinlay


Goldinlays werden ebenso wie Keramikinlays vom Techniker hergestellt und dann in den Zahn eingesetzt. Mit einer Haltbarkeit von 15 Jahren und mehr sind Goldinlays allen übrigen Materialien überlegen.